Research
COVID-19 Diagnosis

Background: The use of CT imaging enhanced by artificial intelligence to effectively diagnose COVID-19, instead of or in addition to reverse transcription-polymerase chain reaction (RT-PCR), can improve widespread COVID-19 detection and resource allocation.
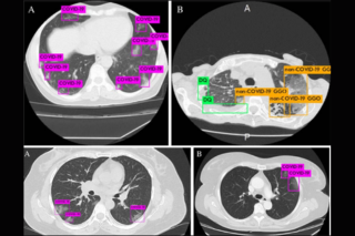
Methods: 904 axial lung window CT slices from 338 patients in 17 countries were collected and labeled. The data included 606 images from COVID-19 positive patients (confirmed via RT-PCR), 224 images of a variety of other pulmonary diseases including viral pneumonias, and 74 images of normal patients. We developed, trained, validated, and tested an object detection model which detects features in three categories: ground-glass opacities (GGOs) for COVID-19, GGOs for non-COVID-19 diseases, and features that are inconsistent with a COVID-19 diagnosis. These collected features are passed into an interpretable decision tree model to make a suggested diagnosis.
Results: On an independent test of 219 images from COVID-19 positive, a variety of pneumonia, and healthy patients, the model predicted COVID-19 diagnoses with an accuracy of 96.80 % (95% confidence interval [CI], 96.75 to 96.86) , AUC-ROC of 0.9664 (95% CI, 0.9659 to 0.9671) , sensitivity of 98.33% (95% CI, 98.29 to 98.40) , precision of 95.93% (95% CI, 95.83 to 95.99), and specificity of 94.95% (95% CI, 94.84 to 95.05). On an independent test of 34 images from asymptomatic COVID-19 positive patients, our model achieved an accuracy of 97.06% (95% CI, 96.81 to 97.06) and a sensitivity of 96.97% (95% CI, 96.71 to 96.97). Similarly high performance was also obtained for out-of-sample countries, and no significant performance difference was obtained between genders.
Conclusion: We present an interpretable artificial intelligence CT analysis tool to diagnose COVID-19 in both symptomatic and asymptomatic patients. Further, our model is able to differentiate COVID-19 GGOs from similar pathologies suggesting that GGOs can be disease-specific.